池州人论坛

 找回密码
 免费注册
搜索
查看: 1945|回复: 8

9 岁女孩全身骨骼异常,病因却在猫身上找到了

[复制链接]
发表于 2024-5-4 22:56 | 显示全部楼层 |阅读模式

马上注册,结交更多好友,享用更多功能,让你轻松玩转人网

您需要 登录 才可以下载或查看,没有账号?免费注册

x
作者丁香园 DXY    2024-04-07 20:20      


不明原因发热、全身骨骼出现异常、肝脾肿大、颈部淋巴结肿大……在来到上海交通大学医学院附属上海儿童医学中心之前,这名 9 岁女孩已经辗转了多家医院。


然而,从私立诊所到省儿童医院,没有医生能够给出一个确切的诊断。有医院怀疑感染,但治疗后患儿仍反复发热;有医院怀疑肿瘤,但却未能找到确凿的证据。


明确诊断,成为了医生们面临的最大难题。


感染,还是恶性肿瘤?


上海儿童医学中心感染科主任曹清记得,这名患儿来到医院时,已经经历了近 1 个月的不明原因发热,间隔 6~8 个小时发热一次,每天 3~4 次,体温最高 39~40°C。


除了反复发热,患儿没有其他症状,但体格检查却发现她的肝脾肿大,左颈部可触及 20 mm*10 mm 大小的淋巴结,同时,外院的 MRI 影像学检查也提示了全身骨骼出现了奇怪的信号改变。


1.jpg
患儿全身 MRI


图源:参考资料 1


初步检验显示,患儿有轻度贫血(Hb 94 g/L),C 反应蛋白轻度升高(18 mg/L)和红细胞沉降率升高(90 mm/h),但白细胞、铁蛋白、LDH、免疫功能、肝肾功能均在正常范围内。


是感染吗?


「患儿此前在当地医院住院接受了抗感染治疗,但体温一直居高不下。」曹清回忆说。根据病历资料,患儿在当地医院接受过 5 天的静脉头孢曲松治疗,随后又接受了 7 天美罗培南和利奈唑胺治疗,但病情依然没有得到缓解。


同时,血液和骨髓培养均没有培养出细菌和真菌;风疹、CMV、EBV、HSV-1 和 HSV-2 的病毒血清学检测也均为阴性,结核病(PPD、T-SPOT)和梅毒(VDRL、FTA-Abs)检测结果也都排除了感染,甚至弓形虫病、肺吸虫、囊尾蚴病等寄生虫疾病的检测结果也都没有阳性表现。


感染的可能性,似乎被排除了。


那么,是否有可能像此前医院怀疑的一样,这不明原因的发热由肿瘤导致?


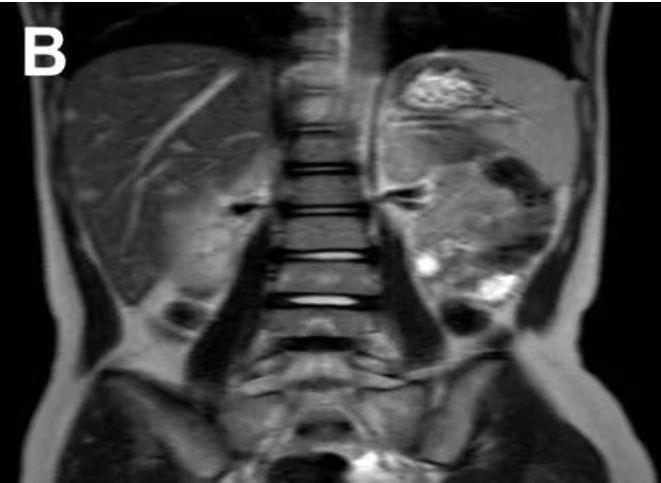
出于这样的顾虑,在来到儿童医学中心后,患儿首先由血液科收治入院。随后,B 超显示患儿的肝脏和脾脏多发散在斑片状低回声区,进一步腹部 MRI 显示患儿肝脏、脾脏存在多个不规则信号影。


2.jpg
患儿腹部 MRI


图源:参考资料 1


影像学表现让医生再次考虑到恶性肿瘤的可能。


骨穿、骨活检、腹腔镜探查


「这太像肿瘤导致的肝脾浸润了。」曹清说,「尤其患儿的血沉也偏高,再加上全身的骨骼改变,这在淋巴瘤中也经常观察到。」


按照肿瘤的思路,医生为患儿安排了 PET-CT。「如果是肿瘤,我们希望可以看到它到底在哪个部位。」


然而,PET-CT 的结果再次将可能的诊断引向了不好的方向:结果显示全身多发骨质密度改变,肝脾增大,报告给出的诊断提示,「血液系统和淋巴系统肿瘤不能排除」。


为了进一步确定诊断,血液科选取患儿骨代谢较高的部位进行骨髓穿刺,好消息是,骨髓中并没有检出任何肿瘤细胞。


医生们依然非常谨慎。「骨髓穿刺可能受到取样位置的影响,有时候运气不好,肿瘤细胞可能取不到,保险起见,我们同时进行了骨髓活检。」曹清说。


但是,骨髓活检的结果依然没有观察到肿瘤细胞,这缩减了恶性肿瘤的可能,并再次提示,感染仍然不能被排除。


还有哪里能够提供诊断的依据?医生们再次调转方向,重新回看患儿的检查报告,最终将目光聚焦在患儿的肝脾肿大上。


「这名患儿入院后,我们也曾给予阿奇霉素等药物进行治疗,但体温依然维持在 38°C 左右。」曹清说,「加上患儿家长非常希望能够明确诊断,我们最终决定,用微创腹腔镜对肝脾的斑片状低回声区进行探查。」


进行腹腔镜这天,上海儿童医学中心的感染科医生、血液科医生和普外科医生一齐来到了手术室,很快,脾脏、肝脏上的病变清晰地呈现在屏幕上,肝脏表面观察到许多小的白色斑片样结节。「是非常清楚的脓肿样改变。」


3.png
患儿腹腔镜探查发现,肝脏表面出现多个白色结节(图源:参考资料 1)


肝脏病变组织的病理学活检显示肉芽肿性炎症和局灶性坏死,这再次提示了感染。「肉芽肿样改变,这在真菌、细菌感染和一些少见的寄生虫病中都有可能出现。」


同一时间,肝脏病变标本也被送往进行 NGS 测序,结果显示,肝组织中存在汉赛巴尔通体的 17 个读长(reads),相对丰度为 1.9%。除汉赛巴尔通体外,未检测到其他病原体。


破案了,是猫抓病!


论文发表:首次描述罕见病例改变


猫抓病(CSD)是一种由汉赛巴尔通体或其他巴尔通体引起的传染病,常见于儿童及青少年,多以散发为主。人类猫抓病通常通过猫抓伤或咬伤引起的皮肤破裂而引起,临床表现多为皮肤破裂部位出现病变症状,伴或不伴区域性淋巴结病。


大多数患者为自限性疾病,约 2~10% 患者可能表现为不明原因发热、视神经视网膜炎、肝脾肿大等一系列深层次感染。


终于确认了真凶后,曹清团队再次询问患儿家属,对方终于想起,在患儿发病前,家中曾喂养过一只流浪猫。


「其实这名患儿从转入我院以来,我们也对家属进行了多轮病史闻讯,包括动物接触史,但一直没有问出来曾喂养流浪猫。」曹清说,「发热待查的病人,详细的病史问询和体格检查非常重要,但临床上难免遇到这样的情况,就需要有条理地寻找细枝末节的证据。」


提到最终锁定肝、脾进行活检,曹清认为,这也展现了团队在诊疗中的思考。「发热待查的患者,如果病情条件允许,可以在密切监测的情况下尽量暂停抗生素药物使用,以便进行更细致的临床观察,有条理、有方向性的搜查,要比盲目的筛查更有价值。」


不过,在猫抓病中,引起骨骼损害的案例极其罕见。智利的一份流行病学调查显示,2~10% 的猫抓病病例会出现严重症状,但只有 0.3% 的病例出现了骨骼病变。


一份 1200 名猫抓病患者的回顾分析显示,只有 60 名患者(5%)出现全身受累,其中 2 名(0.17%)表现出骨感染。另一份研究在 852 名患者中发现,仅有 5 名(0.27%)发现骨髓炎。


「猫抓病引起全身骨骼改变的情况非常少见,尤其是在免疫正常的患儿中。」曹清说,「这个病例也提示我们,巴尔通体的感染表现有时候可能和肿瘤非常相近,在临床上需要谨慎以防误诊。」


为了进一步确认患儿诊断,曹清团队联系到上海交通大学农业与生物学院袁聪俐研究员团队,进行间接免疫荧光、免疫组织免疫化学、核酸检测等不同技术对血清及受累器官进行巴尔通体感染检测。多种检测技术同时确认了巴尔通体感染,该患儿最终确诊为急性播散性猫抓病。


通常情况下,大多数猫抓病患者表现为持续 2~8 周的自限性淋巴结病,不需要抗生素治疗,对于累及肝、脾、眼或中枢神经系统的患者,可使用大环内酯类药物进行治疗。「不过这名患儿的全身性疾病情况较为严重,我们给予了多西环素进行治疗。」


5 天后,患儿体温恢复正常。出院后随访显示,内脏病变和骨骼异常也有了明显改善。


4.png
多西环素治疗 6 周后,全身 MRI 显示异常信号有明显改善(图源:参考资料 1)


2022 年 10 月 26 日,曹清教授作为通讯作者,在期刊 Emerging Microbes & Infections 在线发表了题为 Cat Scratch Disease with Generalized Bone Lesions in an immunocompetent child 病例报告,详细描述了上述患儿的诊疗经过。


5.png
期刊截图


而这篇论文也首次系统地描述了,免疫功能正常的猫抓病患儿出现全身骨骼损害和内脏损害的临床特征。


「猫抓病作为一种人畜共患病,近年来随着中国家庭宠物数量的增加,发病率也在逐步上升,并逐渐城市化。」曹清说,「我们希望通过这样的病例,来提高临床医生对猫抓病的认识,当儿童出现骨病变时,除恶性疾病外,也应考虑巴尔通体感染。」


不过,曹清也提到,目前对于猫抓病的诊治仍然缺少诊疗指南或专家共识,同时,对猫抓病的诊断技术依然有待提升。


「巴尔通体的诊断非常困难,在这个病例中我们通过 NGS 检测,但价格较贵,也并不是每家医疗机构都有,如果未来能够通过引物设计,实现通过 PCR 检测巴尔通体,那么猫抓病诊断就能变得更加便捷。」曹清说,「我们希望在未来逐步推动猫抓病的诊疗标准建立,也希望随着我们对疾病的了解和更多流行病学的深入调查,能够有更便捷、更商品化的检测手段出现。」(策划:z_popeye|监制:gyouza)


致谢:本文经 上海儿童医学中心感染科主任 曹清、主治医师 王静、主治医师 陈文娟 专业审核


题图来源:参考资料 1


参考资料:


[1]Wang J, Chen W, Wang M, et al. Cat scratch disease with generalized bone lesions in an immunocompetent child[J]. Emerging Microbes & Infections, 2022, 11(1): 2433-2436.


[2]魏丽. 骨髓穿刺涂片和骨髓活检切片对诊断儿童血液系统疾病的临床意义研究[J]. 医药与保健, 2017(007):025.


[3]Erdem G, Watson J R, Hunt W G, et al. Clinical and radiologic manifestations of bone infection in children with cat scratch disease[J]. The Journal of Pediatrics, 2018, 201: 274-280. e12.


[4]Hajjaji N, Hocqueloux L, Kerdraon R, et al. Bone infection in cat-scratch disease: a review of the literature[J]. Journal of Infection, 2007, 54(5): 417-421.


[5]Donoso G, Paulsen C, Riquelme P, Lobo G, Gutierrez D, Perez A, Jiménez C. Bone scintigraphy in children with cat scratch disease. Clin Nucl Med. 2013 Dec;38(12):936-9. doi: 10.1097/RLU.0000000000000240. PMID: 24152635.  


上人网 知池州 惠生活 欢迎下载池州人网APP
发表于 2024-5-5 09:22 本帖发自手机 | 显示全部楼层
预防为主,防治结合。
回复 收起回复
B Color Smilies
还可输入 个字符
上人网 知池州 惠生活 欢迎下载池州人网APP
发表于 2024-5-5 09:31 本帖发自手机 | 显示全部楼层
所以家里最好不要养所谓的宠物
回复 收起回复
B Color Smilies
还可输入 个字符
上人网 知池州 惠生活 欢迎下载池州人网APP
发表于 2024-5-5 10:35 本帖发自手机 | 显示全部楼层
国家应该重点给于帮助,同实社会都应该关心,关爱,帮助。
回复 收起回复
B Color Smilies
还可输入 个字符
上人网 知池州 惠生活 欢迎下载池州人网APP
发表于 2024-5-5 11:37 本帖发自手机 | 显示全部楼层
危险危险
回复 收起回复
B Color Smilies
还可输入 个字符
上人网 知池州 惠生活 欢迎下载池州人网APP
发表于 2024-5-5 11:55 本帖发自手机 | 显示全部楼层
太可怕了
回复 收起回复
B Color Smilies
还可输入 个字符
上人网 知池州 惠生活 欢迎下载池州人网APP
发表于 2024-5-5 12:01 本帖发自手机 | 显示全部楼层
骇人!!
回复 收起回复
B Color Smilies
还可输入 个字符
上人网 知池州 惠生活 欢迎下载池州人网APP
发表于 2024-5-5 12:07 本帖发自手机 | 显示全部楼层
太可怕了
回复 收起回复
B Color Smilies
还可输入 个字符
上人网 知池州 惠生活 欢迎下载池州人网APP
发表于 2024-5-5 16:11 本帖发自手机 | 显示全部楼层
太可怕了!
回复 收起回复
B Color Smilies
还可输入 个字符
上人网 知池州 惠生活 欢迎下载池州人网APP
您需要登录后才可以回帖 登录 | 免费注册

本版积分规则

手机版|关于我们|联系我们|投诉删帖|池州人网 ( 皖B2-20190096 )
侵权举报:本页面所涉内容为用户发表并上传,相应的法律责任由用户自行承担;本网站仅提供存储服务;如存在侵权问题,请权利人与本网站联系删除!举报电话:0566-3396977

GMT+8, 2025-12-23 06:07

Powered by Discuz! X3.4 Licensed

© 2001-2023 Discuz! Team.

快速回复 返回顶部 返回列表